TINCION DE GRAM
La tinción de gram o coloración de gram es un tipo de tinción diferencial empleado en microbiología para la visualización de bacterias, sobre todo en muestras clínicas. Debe su nombre al bacteriólogo danés Christian Gram, que desarrolló la técnica en 1884. se utiliza tanto para poder referirse a la morfología celular bacteriana como para poder realizar una primera aproximación a la diferenciación bacteriana, considerándose gram positiva a las bacterias que se visualizan de color violeta y bacteria gram negativa a las que se visualizan de color rosa.
Técnica :
Preparar el frotis y fijarlo al calor
Colocar la preparación fijada con la solución de cristal violeta durante l’
Lavar con solución yodada (Lugol )
Cubrir el frotis con Lugol durante 1’
Escurrir y decolorar por alcohol hasta que no arrastre más cristal violeta.
Lavar con agua
Contrastar con la solución de fucsina por 1’
Lavar con agua, secar al aire y examinar con objetivo de inmersión
BACTERIAS GRAM POSITIVAS
En microbiología, se denominan bacterias Gram positivas a aquellas bacterias que se tiñen de azul oscuro o violeta por la tinción de Gram: de aquí el nombre de "Gram-positivas" o también "grampositivas". Esta característica está íntimamente ligada a la estructura de la envoltura celular por lo que refleja un tipo natural de organización bacteriana. Son uno de los principales grupos de bacterias, y cuando se tratan como taxón se utiliza también el nombre de Posibacteria.
La envoltura celular de las bacterias Gram-positivas comprende la membrana citoplasmática y una pared celular compuesta por una gruesa capa de peptidoglucano, que rodea a la anterior. La pared celular se une a la membrana citoplasmática mediante moléculas de ácido lipoteicoico. La capa de peptidoglucano confiere una gran resistencia a estas bacterias y es la responsable de retener el tinte durante la tinción de Gram .
Incluyen especies tanto móviles (vía flagelos) como inmóviles con forma de bacilo (Bacillus, Clostridium, Corynebacterium, Lactobacillus, Listeria) o coco (Staphylococcus, Streptococcus); con gruesas paredes celulares o sin ellas (Mycoplasma). Algunas especies son fotosintéticas, pero la mayoría son heterótrofas. Muchas de estas bacterias forman endosporas en condiciones desfavorables. Realmente, no todas las bacterias del grupo son Gram positivas (no se tiñen por la aplicación de ese método), pero se incluyen aquí por su similitud molecular con otras bacterias Gram-positivas.
Bacterias Clostridium perfringens (Gram positivas)

BACTERIAS GRAM NEGATIVAS
Las Bacterias Gram-Negativas son aquellas que presentan dos membranas lipídicas y entre ellas se localiza un fina pared celular compuesta fundamentalmente por peptidoglucano ( al ser fina esta pared, no se tiñe de violeta o azul en la tinción ).
Estas bacterias se tiñen de Rosa.
Muchas especies de bacterias Gram-negativas causan enfermedades. Los cocos Gram-negativos causan la gonorrea (Neisseria gonorrhoeae), meningitis(Neisseria meningitidis) y síntomas respiratorios (Moraxella catarrhalis), entre otros. Los bacilos Gram-negativos incluyen un gran número de especies. Algunos de ellos causan principalmente enfermedades respiratorias (Haemophilus influenzae, Klebsiella pneumoniae , Legionella pneumophila, Pseudomonas aeruginosa), enfermedades urinarias (Escherichia coli, Proteus mirabilis, Enterobacter cloacae, Serratia marcescens) y enfermedades gastrointestinales (Helicobacter pylori, Salmonella enteritidis, Salmonella typhi). Otros están asociadas a infecciones nosocomiales (Acinetobacter baumanii).
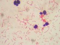
Bacterias Escherichia coli (Gram negativas) vistas al microscopio tras ser teñidas con la tinción de Gram

TINCION DE Ziehl Neelsen
La tinción de Ziehl-Neelsen (BAAR) es una técnica de tinción diferencial rápida y económica, para la identificación de microorganismos patógenos, por ejemplo M. tuberculosis.
Fue descrita por primera vez por dos médicos alemanes, Franz Ziehl (1859 a 1926), un bacteriólogo y Friedrich Neelsen (1854 -1894), un patólogo.
Las paredes celulares de ciertos parásitos y bacterias. Contienen ácidos grasos (ácidos micólicos) de cadena larga (50 a 90 átomos de carbono) que les confieren la propiedad de resistir la decoloración con alcohol-ácido, después de la tinción con colorantes básicos. Por esto se denominan ácido-alcohol resistente. Las mico bacterias como M. tuberculosis y M. marinum y los parásitos coccídeos como Cryptosporidium se caracterizan por sus propiedades de ácido-alcohol resistencia. La coloración clásica de Ziehl Neelsen requiere calentamiento para que el colorante atraviese la pared bacteriana que contiene ceras.
Se ha desarrollado una coloración de ácido-alcohol resistencia modificada que diferencia las especies de Nocardia (bacterias ramificadas filamentosas cuyas paredes celulares contienen ácidos-grasos de unos 50 átomos de carbono), de los actinomiceos (muy semejantes pero no ácido-alcohol resistentes). Nocardia spp son decoloradas por la mezcla ácido-alcohol estándar pero no por un tratamiento más suave con ácido sulfúrico 0,5 a 1%. Estos microorganismos se denominan ácido-alcohol resistentes parciales o débiles.
El frotis se tiñe durante unos 5 min. con Carbol fucsina aplicando calor suave. Lavar con agua. Decolorar con alcohol etílico 95% con un 3% de ClH concentrado. Lavar y teñir durante 30-60 seg. Con Azul de Metileno (color de contraste). Lavar y secar
TECNICA:
Cubrir la lamina previa fijación de la preparación por calor con la fucsina fenicada de Ziehl Neelsen y calentarla hasta que emita vapores, sin que hierva, durante tres a cinco minutos, respondiendo constantemente el colorante para evitar la desecación.
Lavar con agua corriente.
Decolorar con el alcohol-ácido hasta que no haya más salida de color.
Lavar con agua corriente.
Contrateñir con la solución de azul de metileno por un minuto.
Lavar con agua, secar al aire y observar por inmersión.
Puede utilizarse en lugar de la Carbo fucsina de Ziehl – Neelsen la de Kinyoun, en cuyo caso no es necesario el calentamiento.
COMPOSICION:
Fucsina básica..... 4 g
Fenol.................... 8 ml
Alcohol etílico de 95°....................... 20 ml
Agua destilada... l00 ml
Los microorganismos pertenecientes al genero Mycobacterium son designados acidorresistentes a causa de que una vez teñidos por un método conveniente retienen el colorante y no son decolorados por acción de los ácidos. Los gérmenes acidorresistentes (bacilos de la tuberculosis y de la lepra) aparecen de color rojo y los no acidorresistentes de azul, al igual que las células, leucocitos, etc. Del material en estudio.
Imagen: BGN y levaduras en una tinción GRA Para la tinción del bacilo tuberculoso, lepra y mico bacterias

No hay comentarios:
Publicar un comentario